Featured image of post Visualizing Microsoft AdventureWorks Data

Visualizing Microsoft AdventureWorks Data

This Power BI dashboard provides comprehensive sales analytics for AdventureWorks, offering insights into revenue, orders, returns, and customer demographics. The dashboard consists of three interconnected pages, each focusing on specific aspects of the business.

Featured image of post Brain Tumour Classificaion

Brain Tumour Classificaion

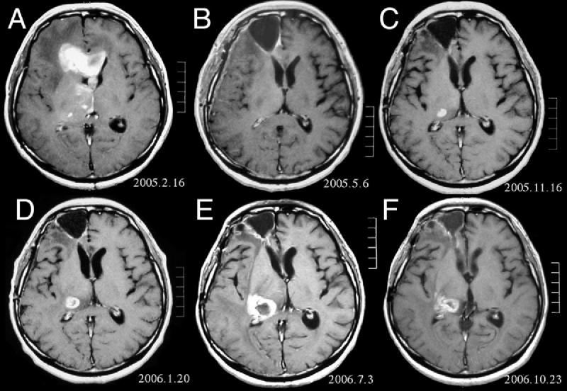
Radiology is a broad subject that needs more knowledge and understanding of medical science to identify tumors accurately. The need for a tumor detection program, thus, overcomes the lack of qualified radiologists. Using magnetic resonance imaging, biomedical image processing makes it easier to detect and locate brain tumors. In this study, a segmentation and detection method for brain tumors was developed using images from the MRI sequence as an input image to identify the tumor area. This process is difficult due to the wide variety of tumor tissues in the presence of different patients, and, in most cases, the similarity within normal tissues makes the task difficult. The main goal is to classify the brain in the presence of a brain tumor or a healthy brain.

Featured image of post Starbucks Drinks Dashboard

Starbucks Drinks Dashboard

A comprehensive Power BI dashboard analyzing Starbucks drink products, focusing on nutritional content, health insights, and store location information. The dashboard provides a holistic view of Starbucks' product offerings through four interconnected pages.

Featured image of post Forcasting and Anomaly Detection

Forcasting and Anomaly Detection

In the "Forecasting-and-Anomaly-Detection" project, we delved into the realm of machine learning to enhance our understanding of Walmart sales data. The project focused on both time series forecasting and anomaly detection, employing a diverse set of techniques to achieve accurate predictions and identify unusual patterns in the sales data.

Featured image of post Analysis on Complete Works of Swami Vivekananda

Analysis on Complete Works of Swami Vivekananda

This project aims to apply the Flajolet-Martin Algorithm to estimate the cardinality of unique elements in the entire collection of Swami Vivekananda's complete works. The Flajolet-Martin Algorithm is a probabilistic method commonly used for large-scale data sets, providing an efficient way to estimate the number of distinct elements without needing to store them explicitly.